雙眼做為大家身體十分關鍵的一個人體器官,在生活起居中十分重要,因為常常與外部的化學物質觸碰而且應用頻率極高,大家的眼部都會難以避免地造成一些不適感癥狀。據《中國青少年眼健康調查報告》顯示信息,單就青少年兒童人群看來,眼部身心健康情況差的總數占比已達到70%。數據信息說明,基本上全部年齡層的小孩都存有不一樣狀況的雙眼健康問題。
而做為眼部身心健康一大威協的角膜炎也是骨科常發病癥之一,在其中病毒性角膜炎也是擁有 病發急的特性,急性病治療全過程及目地先是推動患處痊愈,降低眼角膜傷疤產生及其防止很有可能會出現的病發癥,病毒性角膜炎這類亞急性角膜炎的誘因與相對性應的治療對策則更為繁雜。

病毒性角膜炎的發病原因有哪些呢,大概以下:
1、由HSV為發病原引起的一類;在我們身體免疫力下降時,如發燒感冒或發燙等狀況出現時,都是有很有可能變成本病的引起要素。
2、由帶狀性皰疹病原體造成;關鍵沿一部分的神經系統末遍布,因而會展現在上眼瞼的上端肌膚,主要表現呈串珠狀。
3、因為兒時接種牛痘預苗中,遭受了出現意外感柒所造成 ,但自八十年代起牛痘疫苗早已已不應用。
那麼,病毒性角膜炎是不是一種十分比較嚴重的眼睛疾病呢?
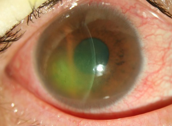
因為此病是一種現病史較長的病癥,而且恢復期容易發作,還很有可能伴隨別的病癥,例如大家熟識的閉角型青光眼這些,是臨床醫學上比較普遍的失明癥之一。因而病毒性角膜炎還是存有一定嚴重后果的。另外其發病原因繁雜,臨床癥狀也一樣的輕和重不一,也會由于每一個人的身體狀況不一樣而主要表現不一樣,是一種很繁雜的眼睛疾病。

病毒性角膜炎出現的一般癥狀有什么?
得了病毒性角膜炎后,一般雙眼常出現顯著的刺激性癥狀,如懼怕光亮、常常酸疼等。大家的眼角膜自身全透明較高,一旦病發,便會造成 其清晰度更改,表明在患者的身上便是視線模糊的癥狀。
治療病毒性角膜炎有什么方式呢?
現階段關鍵存有中醫學治療與西醫方面治療二種治療方法:
1、中醫學治療:中醫學一般稱此病作"聚障",又叫"翳白陷"。發病原因為五臟六腑作用不平衡、風寒風熱等各個方面造成,因此 中醫學提議病人在平常日常生活應留意熱冷轉變,避免 肺部遇熱,防止病況更改。
2、西醫方面治療:常見抗病毒治療滴眼液,一般可相互配合抑菌滴眼液,維護眼部及其防預同發感柒,出現副作用時,則可進一步加上散瞳藥水。實際要依據病人身體素質狀況而定,比如身虛體質虛弱等,提議服食一些提高免疫的藥品做為輔助治療,另外還可以根據手術治療和別的混和等方式開展治療,實際效果頗佳。
中西醫結合協同治療在提升 治療率、降低生病時間穩定系數等層面均好于單一的治療方法,可以較大 地維護病毒性角膜炎病人。可是不管怎樣,都必須遵循醫生叮囑,積極主動治療為主導。平常要留意提升 身體免疫能力,避免 病毒性感染,能夠非常好的防止病毒性角膜炎。