有些人眼睛一紅就以為是結膜炎,不太當回事,認為上藥店隨便買點眼藥水滴一滴就好了。但你有沒有想過,眼睛發紅并非結膜炎獨有的癥狀,很多眼病都可能導致“眼紅”,比如葡萄膜炎。
葡萄膜炎分“前后”,易與結膜炎混淆的是前葡萄膜炎
我們的眼球由三層不同的組織包裹著,里面的一層是視網膜,外層是鞏膜(俗稱眼白),葡萄膜則介于視網膜與鞏膜的中間。
葡萄膜又包含虹膜、睫狀體、脈絡膜三部分(順序從前往后)。虹膜可調節瞳孔的大小;睫狀體負責產生房水和調節眼睛焦距;脈絡膜負責為外層視網膜供給營養,并起到遮光暗房的作用,以保障視網膜成像清晰。

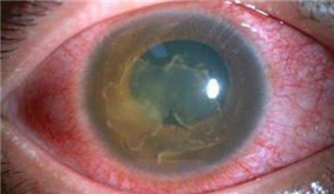
葡萄膜炎則泛指發生于葡萄膜、視網膜血管和玻璃體的炎癥。根據發生位置的不同,葡萄膜炎分為前葡萄膜炎、后葡萄膜炎、全葡萄膜炎。其中,容易與結膜炎混淆的是前葡萄炎。前葡萄膜炎指的是虹膜及其相鄰組織睫狀體發生炎癥,有些前葡萄膜炎患者會產生與結膜炎類似的癥狀,如眼紅、眼疼、視力下降、畏光、流淚等。
但結膜炎與葡萄膜炎不同的地方主要在于:紅眼癥一般不會引發嚴重的并發癥;而前葡萄膜炎的炎癥細胞和滲出不僅會嚴重影響視力,還可能產生白內障、青光眼、眼球萎縮等并發癥,嚴重可致盲。
所以說,眼紅、眼疼等問題可大可小,有時候自己難以判斷,還可能耽誤治療。正確做法是,及時前往正規的醫院就診,讓醫生查明病因后再采取針對性的治療措施。
葡萄膜炎的病因主要有三大方面
事情發生我們總會追究原因,患病也是如此。很多患者在得知自己患有葡萄膜炎時,會產生疑惑:“我為什么會得葡萄膜炎?”這里要告訴大家,引發葡萄膜炎的病因有很多,具體包括感染因素、外傷以及自身免疫反應三大方面。

1、感染因素:細菌、真菌、病毒、寄生蟲等都有可能引發葡萄膜炎;
2、外傷:眼球受到外部創傷導致眼內組織的直接損傷,也可能啟動身體的免疫反應而產生葡萄膜炎;
3、自身免疫:在葡萄膜炎的發病中,自身免疫反應也起著重要作用。
除了以上三個主要原因,自身的免疫遺傳因素在部分葡萄膜炎中也有一定影響,如強直性脊椎炎伴發的葡萄膜炎。無論何種原因引起的葡萄膜炎,都需要及時治療,以免產生嚴重并發癥而導致視力受損甚至失明。
藥物可治療葡萄膜炎,部分并發癥需要手術
珠海希瑪林順潮眼科醫院認為,治療葡萄膜炎需放大患者瞳孔以防虹膜后面發生粘連并拉開新鮮的虹膜粘連,通過盡快消炎以免眼組織進一步被破壞和其他并發癥的發生。針對病菌感染導致的葡萄膜炎,還需要進行抗感染治療。
治療葡萄膜炎的藥物主要有睫狀肌麻痹劑以及消炎藥物。睫狀肌麻痹劑可以解除睫狀肌痙攣,以減輕患者痛感,還能夠預防虹膜后發生粘連;消炎藥物包括類固醇藥物和非類固醇的消炎藥,具體使用何種藥物以及用藥頻率,應嚴格遵醫囑。部分比較嚴重的前葡萄膜炎患者,還可能需要口服類固醇或者結膜下注射藥物治療。

對于已經產生了并發癥的葡萄膜炎患者,還需要針對并發癥進行治療:
在珠海希瑪林順潮眼科醫院,如并發性白內障需要在炎癥得到控制后,通過白內障手術解決白內障問題。繼發性青光眼則需要根據其發生的機制,選擇不同的治療措施。對于有炎癥滲出物或小梁網所致的青光眼,應使用消炎藥物和降眼壓藥物進行治療;針對虹膜粘連引起的繼發性眼壓升高,需在積極抗感染治療的情況下,考慮進行手術治療,如激光虹膜切開術、虹膜周邊切除術等。