平時工作學習非常忙碌,好不容易到了長假自然是要嗨起來。熬夜追劇、通宵唱K,還得來上幾百圈麻將,這才是春節長假的打開方式。但是,在嗨翻全場的同時卻會給眼睛帶來極大負擔甚至是較為嚴重的損傷。武漢30歲的張女士就因為熬夜追劇進了醫院。

(圖源微博)
原來呀,雙眼高度近視的張女士趁著春節期間的小長假徹底放飛了自我,每晚熬夜刷劇,直到三四點才睡。
當右眼出現飛蚊、暗影后她也并沒有特別在意,直到初六早上她發現右眼一片黑才慌張地趕去醫院做了檢查卻被醫生診斷為孔源性視網膜脫落需要盡快手術治療。
珠海希瑪眼科醫院要提醒大家的是長期熬夜容易導致視力下降,尤其是高度近視患者。其眼軸比正常人的眼軸要長視網膜相對較為脆弱,如果長期熬夜會造成視力模糊、視物扭曲等問題,并容易引發一系列眼底病變。
近視需警惕這些眼底并發癥
白內障
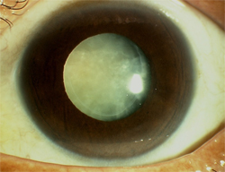
作為全球第一大致盲眼病,可能大家都覺得白內障一向是屬于年長人士的疾病,但近年白內障有年輕化的現象,原因之一就是高度近視。

白內障是眼球內晶狀體全部或部分混濁,高度近視容易并發該病,且手術效果也比沒有高度近視病史的人群差。
白內障會出現視力減退和視物模糊,嚴重時會出現視物模糊、畏光、看物體顏色較暗或呈黃色等情況。
青光眼
高度近視患者的視神經纖維層會變薄,這也正是青光眼患者的一個重要結構改變。由于近視眼球被拉長,房角組織被拉開,所以高度近視患者所患的多數屬于開角型青光眼。
青光眼是目前排在第二位的致盲性眼病,其表現為眼壓高、視力急劇下降并伴隨有瞳孔放大、劇烈頭痛、嘔吐等癥狀。
視網膜脫落
高度近視患者眼球長度會被拉長,這樣視網膜就會被拉伸變薄,由此衍生一系列視網膜并發癥,其中較常見的是某些部位在被拉得過薄時,視網膜出現穿孔或者撕裂,嚴重者可能會出現視網膜脫落。

視網膜脫落是感光層和色素層之間脫離,部分患者沒有明顯自覺癥狀,而有些患者是有明顯自覺癥狀的,患者眼前的飛蚊會增多,并出現閃光及視野缺損的狀況。
黃斑病變
黃斑位于視網膜的中心位置,是負責中央視力的重要區域,黃斑一旦出現病變,有可能嚴重影響視功能。
與正常人眼球長度(約為24毫米)相比,高度近視患者眼球被拉長,嚴重時眼球長度能達到34毫米。當眼球被拉長,相對應部位的視網膜組織會承受牽扯的力量,同時被拉扯變薄,變得脆弱容易出現退化變性,出現黃斑前膜、黃斑裂孔及黃斑劈裂等病變。
高度近視引起的黃斑病變,早期未必會出現明顯癥狀,當病變惡化時可能出現癥狀,常表現為視物模糊,視物扭曲或者變形,中央視力下降及視野范圍可能出現中心暗點。
對于高度近視患者而言需要格外注意以上眼底并發癥。另外,在日常生活中要養成科學合理的護眼習慣,每年定期到醫院檢查一次眼底,發現眼部有輕微不良癥狀后要及時治療,做到防微杜漸,這樣才能更好地遠離眼底病變